Comment J Ai Su Que J Avais Une Tumeur Au Cerveau Forum

Comment J Ai Su Que J Avais Une Tumeur Au Cerveau Forum. Les tumeurs au cerveau causes, symptômes et traitements D'autres affections médicales peuvent causer les mêmes symptômes que la tumeur au cerveau ou à la moelle épinière. Comment j'ai su que j'avais une tumeur au cerveau - Meilleures réponses; J'ai peur d'avoir une tumeur au cerveau - Meilleures réponses; Peut-on vivre longtemps avec une tumeur au cerveau - Accueil - Autres types de cancers ; Amibe mangeuse de cerveau - Accueil - Maladies parasitaires ; J'ai guéri d'une parodontite forum - Forum Dents; Tumeur.

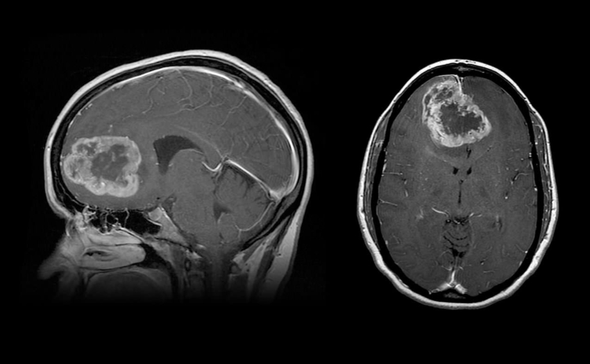
Comment détecter une tumeur cérébrale à la maison signes et symptômes
Comment détecter une tumeur cérébrale à la maison signes et symptômes from santemedicals.com

Il a fait les traitements et a toujours gardé le moral, il est en rémission (pourtant, les médecins nous "affirmaient" qu'il ne lui restait que 6 mois à vivre). Je trouve encore une fois les médecins bien légers.

Comment détecter une tumeur cérébrale à la maison signes et symptômes

Les symptômes des cancers du cerveau dépendent de la localisation exacte de la tumeur j'ai en 1997 été opéré d'une tumeur de 45mm au cerveau, on l'appelle macroadenome hypophisaire expansif a prolactine, on me l'a irradié et ce n'est selon mon specialiste que ne peut plus voir, pas guérri. D'autres affections médicales peuvent causer les mêmes symptômes que la tumeur au cerveau ou à la moelle épinière.

Tumeur au cerveau Photo Stock Alamy. j'ai en 1997 été opéré d'une tumeur de 45mm au cerveau, on l'appelle macroadenome hypophisaire expansif a prolactine, on me l'a irradié et ce n'est selon mon specialiste que ne peut plus voir, pas guérri. Medisite vous explique comment les identifier avec l'expertise du Dr Julien Geffrelot,.

Utilisation du cadre stéréotaxique pour une biopsie d'une tumeur cérébrale clinique_Essalem. au début je ne savais pas si c'était cancéreux ou pas et j'ai eu très peur. Les tumeurs cérébrale gonflent et provoque un oedème céréblale, le cerveau ce retrouve comprimé dans la boite cranienne, et cela peu provoquer différents trouble, et cela peu aller au cour circuit